Was ist unter einer unsichtbaren Zahnkorrektur zu verstehen?
Man spricht von einer Zahnfehlstellung, wenn ein Zahn oder mehrere Zähne im Ober- oder Unterkiefer nicht korrekt angeordnet sind. Das heißt, sie stehen bspw. schief, sind gedreht oder nicht an der vorgesehenen Stelle herausgewachsen.
Mit unseren transparenten Zahnschienen oder den sogenannten Aligner bieten wir Ihnen eine nahezu unsichtbare Möglichkeit, die Zähne zu richten. Sie beeinträchtigt nicht beim Sprechen und zum Essen und Zähneputzen wird sie ganz einfach rausgenommen. Somit sind die Aligner ideal zur Korrektur von leichten bis mittelschweren Zahnfehlstellungen und werden individuell für unsere Kunden hergestellt.
Wie verläuft die unsichtbare Zahnkorrektur?
Die unsichtbare Zahnkorrektur bewegt Ihre Zähne sanft in die gewünschte gerade Form. Dabei werden wir mit Ihnen zuerst einen kompletten Behandlungsplan erstellen, von der ursprünglichen Position der Zähne bis zur gewünschten Endposition. Mithilfe einer moderner 3D-Computertechnologie werden Ihre Zähne zuerst gescannt und herausnehmbare, transparente Schienen angefertigt.
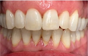
![]() |
![]() |
| VORHER | NACHHER (10 Monate) |
Jede Schiene wird ca. 14 Tage bis max. 3 Wochen getragen und anschließend wird auf die Folgeschiene gewechselt. Dadurch können sich Ihre Zähne nach und nach zur vorgesehenen Endposition bewegen. Die Behandlungszeit und die Behandlungskosten sind abhängig von Ihren speziellen Wünschen.
Folgende Vorteile bietet Ihnen die unsichtbare Zahnkorrektur
- Unsere Aligner sind nahezu unsichtbar
- Keine Metallbrackets oder Drähte
- Keine Einschränkungen beim Essen und Trinken
- Keine Einschränkungen bei der Mundhygiene
- Individuell angepasste Behandlungspläne
- Persönliche Beratung in unserer Praxis
- Hoher Komfort zu geringen Kosten
- Modernste Technologie für hervorragende Ergebnisse
Impressum
Zahnarzt Sharokh Khosravi
Tempelhofer Damm 124
12099 Berlin
Tel: 030-7518004
Email: info@zahnaerzte-tempelhof.de
Zuständige Aufsichtsbehörde:
Zahnärztekammer Berlin
Stallstr.1 10585
Zuständige Abrechnungsstelle:
Kassenzahnärztliche Vereinigung Berlin
Georg Wilhelm Str. 16
10711
1. Haftungsbeschränkung
Die Inhalte des Internetauftritts wurden mit größtmöglicher Sorgfalt und nach bestem Gewissen erstellt. Dennoch übernimmt der Anbieter dieser Webseite keine Gewähr für die Aktualität, Vollständigkeit und Richtigkeit der bereitgestellten Seiten und Inhalte.
Der Dienstanbieter dieser Webseite ist gemäß § 7 Abs. 1 TMG für eigene Inhalte und bereitgestellte Informationen auf diesen Seiten nach den allgemeinen Gesetzen verantwortlich; nach den §§ 8 bis 10 TMG jedoch nicht verpflichtet, die übermittelten oder gespeicherten fremden Informationen zu überwachen. Eine Entfernung oder Sperrung dieser Inhalte erfolgt umgehend ab dem Zeitpunkt der Kenntnis einer konkreten Rechtsverletzung. Eine Haftung ist erst ab dem Zeitpunkt der Kenntniserlangung möglich.
2. Urheberrecht/Leistungs-
schutzrecht
Die auf dieser Webseite veröffentlichten Inhalte, Werke und bereitgestellten Informationen unterliegen dem deutschen Urheberrecht und Leistungsschutzrecht. Jede Art der Vervielfältigung, Bearbeitung, Verbreitung, Einspeicherung und jede Art der Verwertung außerhalb der Grenzen des Urheberrechts bedarf der vorherigen schriftlichen Zustimmung des jeweiligen Rechteinhabers. Das unerlaubte Kopieren und Speichern der bereitgestellten Informationen auf diesen Webseiten ist nicht gestattet und strafbar.
3. Datenschutz
Durch den Besuch des Internetauftritts können Informationen (Datum, Uhrzeit, aufgerufene Seite) über den Zugriff auf dem Server gespeichert werden. Es werden keine personenbezogenen Daten (z. B. Name, Anschrift oder E-Mail-Adresse) gespeichert.
Sofern personenbezogene Daten erhoben werden, erfolgt dies (sofern möglich) nur mit dem vorherigen Einverständnis des Nutzers der Webseite. Eine Weitergabe der Daten an Dritte findet ohne ausdrückliche Zustimmung des Nutzers nicht statt.
Der Anbieter weist darauf hin, dass die Übertragung von Daten im Internet (z. B. per E-Mail) Sicherheitslücken aufweisen und ein lückenloser Schutz der Daten vor dem Zugriff Dritter nicht garantiert werden kann. Der Anbieter übernimmt keine Haftung für die durch solche Sicherheitslücken entstandenen Schäden.
Der Verwendung der Kontaktdaten durch Dritte zur gewerblichen Nutzung wird ausdrücklich widersprochen. Es sei denn, der Anbieter hat zuvor seine schriftliche Einwilligung erteilt. Der Anbieter behält sich rechtliche Schritte für den Fall der unverlangten Zusendung von Werbeinformationen, z. B. durch Spam-Mails vor.



